Noticias de Cantabria
Salud y bienestar 12-08-2021 07:30

Un modelo de aprendizaje profundo clasifica los tumores cerebrales con una sola resonancia magnética

Un equipo de investigadores de la Escuela de Medicina de la Universidad de Washington, en Estados Unidos, ha desarrollado un modelo de aprendizaje profundo que es capaz de clasificar un tumor cerebral como uno de los seis tipos comunes utilizando una sola resonancia magnética 3D, según un estudio publicado en `Radiology: Artificial Intelligence`.

"Este es el primer estudio que aborda los tumores intracraneales más comunes y que determina directamente la clase de tumor o la ausencia del mismo a partir de un volumen de resonancia magnética en 3D", afirma el doctor Satrajit Chakrabarty, estudiante de doctorado bajo la dirección del doctor Aristeidis Sotiras, y el doctor Daniel Marcus, en el Laboratorio de Imagen Computacional del Instituto Mallinckrodt de Radiología de la Facultad de Medicina de la Universidad de Washington.

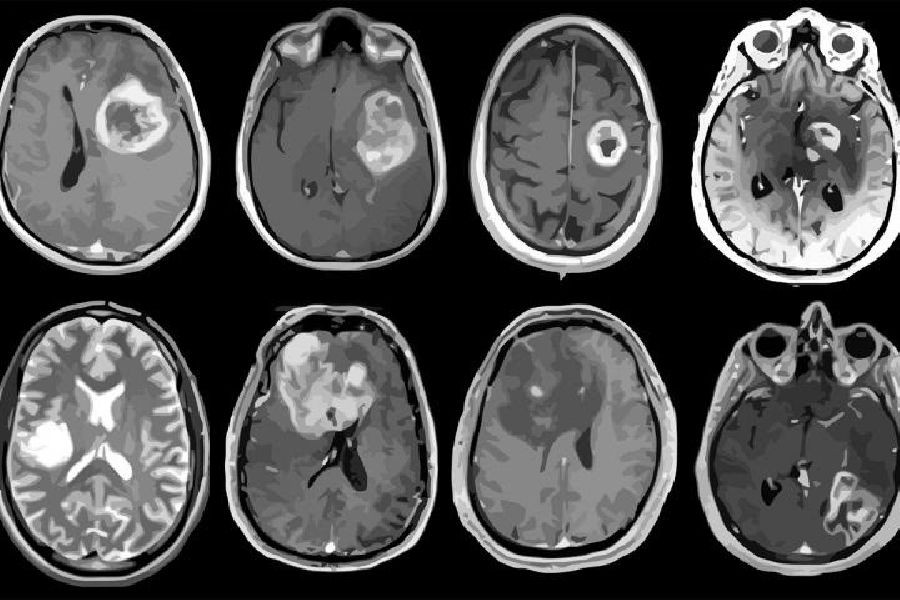
Los seis tipos de tumores intracraneales más comunes son el glioma de alto grado, el glioma de bajo grado, las metástasis cerebrales, el meningioma, el adenoma hipofisario y el neuroma acústico. Cada uno de ellos se documentó a través de la histopatología, que requiere la extracción quirúrgica de tejido del lugar donde se sospecha que hay un cáncer y su examen al microscopio.

Según Chakrabarty, los enfoques de aprendizaje automático y profundo que utilizan datos de resonancia magnética podrían automatizar potencialmente la detección y clasificación de los tumores cerebrales. "La resonancia magnética no invasiva podría utilizarse como complemento, o en algunos casos, como alternativa al examen histopatológico", explica.

Para construir su modelo de aprendizaje automático, denominado red neuronal convolucional, Chakrabarty y los investigadores del Instituto de Radiología Mallinckrodt desarrollaron un amplio conjunto de datos multiinstitucionales de escaneos de IRM 3D intracraneales procedentes de cuatro fuentes públicas.

Además de los datos internos de la institución, el equipo obtuvo exploraciones de IRM ponderadas en T1, preoperatorias y posteriores al contraste, de Brain Tumor Image Segmentation, The Cancer Genome Atlas Glioblastoma Multiforme y The Cancer Genome Atlas Low Grade Glioma.

Los investigadores dividieron un total de 2.105 exploraciones en tres subconjuntos de datos: 1.396 para el entrenamiento, 361 para las pruebas internas y 348 para las pruebas externas. El primer conjunto de exploraciones de IRM se utilizó para entrenar la red neuronal convolucional para que discriminara entre exploraciones sanas y exploraciones con tumores, y para clasificar los tumores por tipo. Los investigadores evaluaron el rendimiento del modelo utilizando los datos de las resonancias internas y externas.

Con los datos de las pruebas internas, el modelo alcanzó una precisión del 93,35% (337 de 361) en siete clases de imágenes (una clase sana y seis clases de tumores). Las sensibilidades oscilaron entre el 91% y el 100%, y el valor predictivo positivo -o la probabilidad de que los pacientes con una prueba de detección positiva tengan realmente la enfermedad- osciló entre el 85% y el 100%.

Los valores predictivos negativos -o la probabilidad de que los pacientes con una prueba de cribado negativa realmente no tengan la enfermedad- oscilaron entre el 98% y el 100% en todas las clases. La atención de la red se solapó con las áreas tumorales para todos los tipos de tumores.

Para el conjunto de datos de prueba externa, que incluía solo dos tipos de tumores (glioma de alto grado y glioma de bajo grado), el modelo tuvo una precisión del 91,95%.

"Estos resultados sugieren que el aprendizaje profundo es un enfoque prometedor para la clasificación y evaluación automatizada de los tumores cerebrales --subraya Chakrabarty--. El modelo logró una alta precisión en un conjunto de datos heterogéneos y mostró una excelente capacidad de generalización en datos de prueba no vistos".

Chakrabarty añade que el modelo de aprendizaje profundo 3D se acerca al objetivo de un flujo de trabajo automatizado de extremo a extremo al mejorar los enfoques 2D existentes, que requieren que los radiólogos delineen manualmente, o caractericen, el área del tumor en una resonancia magnética antes del procesamiento de la máquina. La red neuronal convolucional elimina el tedioso y laborioso paso de la segmentación del tumor antes de la clasificación.

El doctor Sotiras, uno de los desarrolladores del modelo, añade que puede extenderse a otros tipos de tumores cerebrales o trastornos neurológicos, lo que podría proporcionar una vía para aumentar gran parte del flujo de trabajo de la neurorradiología.

Sé el primero en comentar